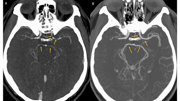
What happened to a contestant in a hot-pepper-eating contest may give spicy food aficionados one more reason to "fear the reaper," according to a recent case report.
Stories this photo appears in:
Brain effects of 'hottest pepper in the world' put man in hospital
What happened to a contestant in a hot-pepper-eating contest may give spicy food aficionados one more reason to "fear the reaper," according to a recent case report.

