|
Jussie Smollet Published on January 29, 2019 |
Published on January 29, 2019 |
A newly discovered bug in Apple's FaceTime software lets Apple users listen in on the people they are calling, and even see through their front-facing … Published on January 29, 2019 |
|
A Democratic Presidential Town Hall with candidate Kamala Harris, moderated by Jake Tapper. Published on January 29, 2019 |
The cast of Black Panther (2018) on stage at the 2019 SAG Awards accepting the award for Best Ensemble. Published on January 29, 2019 |
Ja Rule, left, and Billy McFarland in "Fyre." Published on January 29, 2019 |
Zac Efron stars as Ted Bundy in Netflix's biopic Published on January 29, 2019 |
Multiple Houston police officers were shot Monday while serving a search warrant, Police Chief Art Acevedo said. Published on January 29, 2019 |
Authorities in Tennessee are continuing to search for a missing teen who has been missing for at least two weeks. Published on January 29, 2019 |
|
The Manhattan skyline towers over New York harbor on October 16, 2017 in New York City. Published on January 29, 2019 |
Marco Rubio Published on January 29, 2019 |
The Bentley Continental GT is a wonderful touring car, just don't ask for heart-pumping excitement. Published on January 29, 2019 |
|
Beat Feuz of Switzerland flies towards the finish of the Kitzbuhel downhill. **Credit: Christophe Pallot/Agence Zoom/Getty Images** Published on January 29, 2019 |
Arnold Schwarzenegger during the Audi FIS Alpine Ski World Cup Men's Slalom on January 26, 2019 in Kitzbuehel Austria. **Credit: Christophe Pallot/Agence Zoom/Getty Images** Published on January 29, 2019 |
The Sacklers and members of their company Purdue Pharma have been named in a lawsuit that accuses them of profiting from the opioid crisis by … Published on January 29, 2019 |
|
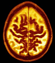
Late Onset Alzheimer's Disease Senile Dementia. Symmetric Enlargement Of Cerebral Sulci Suggests That Cortical Gray Matter Is Affected. Published on January 29, 2019 |
Stevante Clark, left, and his brother Stephon Clark.The family of Stephon Clark, an unarmed black man who was shot and killed in his grandmother's backyard … Published on January 29, 2019 |
Bill Burton, a former adviser to President Barack Obama, is joining Howard Schultz's team as the former Starbucks CEO considers an independent presidential bid in … Published on January 29, 2019 |
Dr. Victor Romano Published on January 29, 2019 |
Published on January 29, 2019 |
Published on January 29, 2019 |
Soy Crazy for You Roll Published on January 29, 2019 |
Published on January 29, 2019 |
Published on January 29, 2019 |
Published on January 29, 2019 |
Published on January 29, 2019 |
Published on January 29, 2019 |
Published on January 29, 2019 |
Published on January 29, 2019 |
Published on January 29, 2019 |
Published on January 29, 2019 |
Published on January 29, 2019 |
Kim Nazarian, Houston Chamber Choir presents I Could Write a Book, an exquisite evening of jazz, cabaret style, in downtown’s trendy Ballroom at Bayou Place, … Published on January 29, 2019 |
|
Published on January 29, 2019 |
Robinson, Stewart, and Evans-Johnson Published on January 29, 2019 |
Harris County Clerk Diane Trautman Published on January 29, 2019 |
METRO Board Chair Carrin Patman encourages the public to provide feedback on draft plan. Published on January 29, 2019 |
METRO staff members explain features of Moving Forward Plan at a METRONext public meeting. Published on January 29, 2019 |
Published on January 29, 2019 |
Comedian Amanda Seales speaks onstage during "I Be Knowin'" A Candid Convo With Amanda Seales during the 2019 Sundance Film Festival at The Blackhouse Foundation … Published on January 29, 2019 |
Actor Terri J. Vaughn, filmmaker Tirrell D. Whittley, actor Victoria Rowell, Vanity Fair writer Kameron Austin Collins, and actor Terrence J speak at the Dream … Published on January 29, 2019 |
(L-R) Jessie Collins, Sinqua Walls, Kelly Price, Jason Dirden, and Devon Gregory speak onstage during the "American Soul" - A First Look And Conversation during … Published on January 29, 2019 |
Singer-songwriter Kelly Price (C) speaks with actors Sinqua Walls and Jason Dirden at the "American Soul" - A First Look And Conversation during the 2019 … Published on January 29, 2019 |
Published on January 29, 2019 |



























